Dentiste à Verneuil - Cabinet dentaire du Dr Claudio LANCIA
Chirurgien-Dentiste à Verneuil sur Avre près de L'aigle
Dentiste à Verneuil - Cabinet dentaire du Dr Claudio LANCIA

334 Rue Notre Dame
27130 VERNEUIL SUR AVRE

Chirurgien-Dentiste à Verneuil sur Avre près de L'aigle

Blog - Page 5

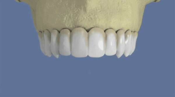
Maxillaire : bridge vissé sans fausse gencive

Maxillaire : bridge vissé sans fausse gencive

Le traitement non chirurgical de la parodontite

Le traitement non chirurgical de la parodontite

Traitement orthodontique esthétique par gouttières

Traitement orthodontique esthétique par gouttières

Le cas spécifique de la luxation de la mâchoire

Le cas spécifique de la luxation de la mâchoire

Corriger le vieillissement péri-buccal grâce à l’acide hyaluronique

Corriger le vieillissement péri-buccal grâce à l’acide hyaluronique

Implant orthodontique : redressement d’une molaire

Implant orthodontique : redressement d’une molaire

Affichage des articles 25-30 sur 207

Création par Webdentiste

Connexion