Dentiste à Verneuil - Cabinet dentaire du Dr Claudio LANCIA
Chirurgien-Dentiste à Verneuil sur Avre près de L'aigle
Dentiste à Verneuil - Cabinet dentaire du Dr Claudio LANCIA

334 Rue Notre Dame
27130 VERNEUIL SUR AVRE

Chirurgien-Dentiste à Verneuil sur Avre près de L'aigle

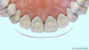
Fil de contention


video-play-icon

Création par Webdentiste

Connexion